假期余额不足,必须抓紧喝个痛快?NO NO NO!你喝的每一口酒,都
双节假期接近尾声
要上班了?
那还不抓紧
抓紧干什么?
喝个痛快去啊!

NO NO NO!快收起这样的想法!成都西南脑科医院影像科主任姜鸿杰医生表示:MRI实证,你喝的每一口酒,都在燃烧你的大脑!
姜鸿杰

医学影像和放射治疗执业医师
成都西南脑科医院影像科主任
毕业于四川省卫生管理干部学院,曾于四川省人民医院进修,先后在四川省国防医院、武警成都医院参加工作,从事影像和放射诊疗工作20余年,积累了丰富的临床诊疗经验,能够及时准确把握影像科常见病、多发病。
“
在我国,饮酒人数众多,酒精中毒性脑病在部分地区成为首要的神经精神卫生问题。这一疾病的典型影像学表现为第三脑室和导水管周围对称性长T2信号伴乳头体萎缩。但,它亦可能有其他类型的影像学表现。
”
01.
韦尼克脑病
这是由于维生素B1缺乏引起的中枢神经系统代谢性脑病,酗酒是最常见的诱发因素。临床以精神症状、眼肌麻痹和共济失调三主征为主要表现,MRI异常信号围绕第三/第四脑室和导水管。最常受累的结构为乳头体,见于80%的韦尼克脑病患者。如果丘脑背内侧受累,常伴有记忆力障碍。

颅脑MRI冠状位示:双侧乳头体高信号
增强扫描示:双侧乳头体中心强化

颅脑MRI轴位示:双侧乳头体、导水管周围、
穹窿、丘脑背内侧及大脑皮层对称性高信号
02.
Marchiafava-Bignami病
简称MBD,是一种罕见的以胼胝体脱髓鞘和坏死为主要病理特征的慢性酒精中毒相关性疾病。这种病的临床表现无特异性,急性起病者可出现严重的意识障碍和认知损害,常危及生命;慢性起病者主要表现为进行性痴呆。
急性期典型影像学表现为“三明治征”,即:矢状位上的病变主要位于胼胝体中层,上层和下层正常。以胼胝体全段受累更为常见。急性期后,胼胝体异常信号逐渐消退。
慢性期表现为胼胝体萎缩,伴局灶性长T1、T2信号,可能反映了进行性脱髓鞘、局灶性坏死和囊变。如果病变出现在胼胝体外,则以皮质下白质最为多见。

颅脑MRI矢状位FLAIR示胼胝体压部高信号(A)
DTI示同一部位胼胝体横向纤维受损(B)
DWI和ADC示胼胝体压部细胞毒性水肿(C、D)
颅脑MRI、DWI示:
双侧大脑半球皮层下白质、
胼胝体、双侧小脑中脚高信号
03.
桥脑中央髓鞘溶解
这是渗透性脱髓鞘综合征中的一种类型,属于脑桥基底部的急性髓鞘溶解性病变,多见于快速纠正低钠血症和酒精中毒。组织病理学上是一种非炎症性脱髓鞘,而神经元和相关轴突相对保留,伴少突胶质细胞数量减少和巨噬细胞浸润。病灶呈现“蝙蝠翅”征、“三叉戟”征或“猪鼻”征。
颅脑MRI示:脑桥基底部T1WI低信号
T2WI和FLAIR高信号
病灶呈对称分布
“蝙蝠翅”征 “三叉戟”征 “猪鼻”征
04.
小脑变性
以小脑蚓部萎缩为主,环池、小脑上池、枕大池扩大,可合并大脑萎缩,主要的病理改变为小脑蚓部皮质变性。临床表现为共济失调、眼球震颤、言语缓慢、行走不稳。

颅脑MRI示小脑萎缩
尤其是在小脑蚓部和半球的的前部
05.
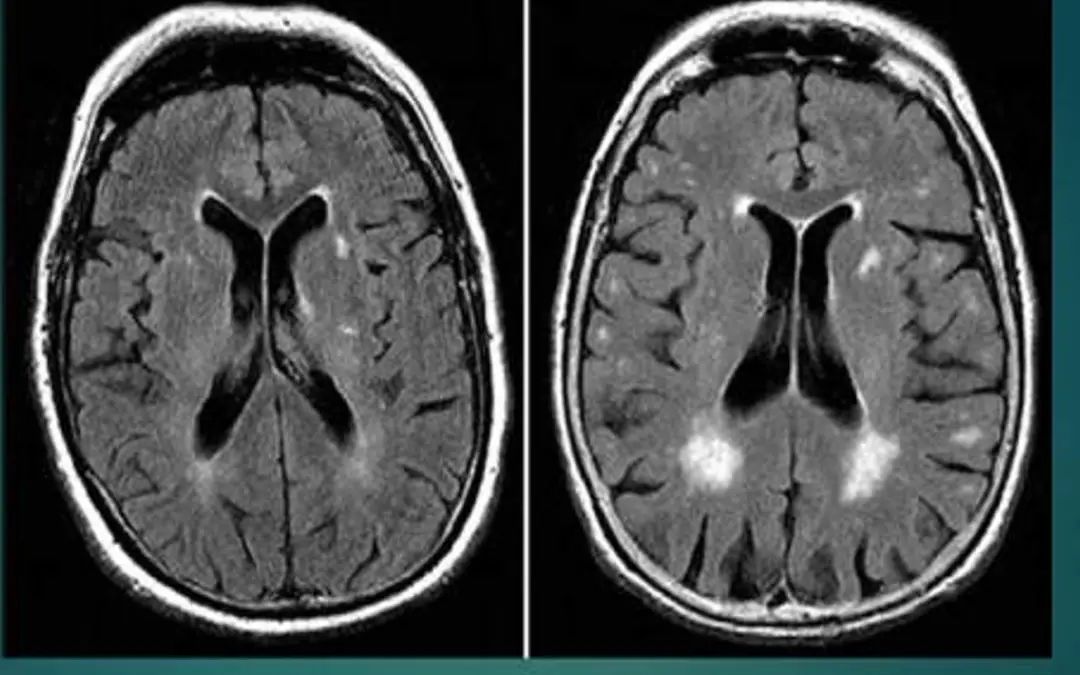
脑白质脱髓鞘
表现为皮层下白质及侧脑室周围多发点状或斑片状长Tl、长T2信号,可以与其他类型影像学损害并存。临床表现为精神障碍、行走困难、肌张力高、病理征阳性等。

以上影像学改变可单独亦可多种共存。
此外,西班牙神经科学研究所,联合德国中央心理健康研究所的联合研究小组,将90名酗酒者的大脑磁共振成像,同36名不饮酒者进行对比分析,观察到了酗酒者大脑白质的持续退变过程。
酗酒者在清醒两周后(左)大脑中的电活动(蓝线)
明显少于禁酒者(右)
大脑扫描结果显示,酒精对两个大脑部位的影响最大,一个是海马体,另一个是前额皮质。记忆、情感、决策以及行为等均受这两个部位控制,因此上述功能会受到损伤。
与滴酒不沾相比,醒酒两周后,饮酒者大脑内神经元的电活动仍明显偏少,这种影响会在停止饮酒后持续6个星期。
研究员圣地亚哥·卡纳勒博士说:“该研究成果挑战了人们的传统看法。事实上,酒精对大脑的伤害远不止于宿醉的那个早上,在那之后的至少6周,大脑神经元的‘沟通交流’都在发生改变,神经信号传递持续受到限制。”















